Пн- пт с 10.00 до 20.00
Сб-вс с 10.00 до 18.00
Улица Ходжанова, 53
Пн- пт с 10.00 до 20.00
Сб-вс с 10.00 до 18.00
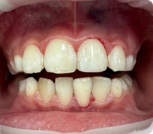
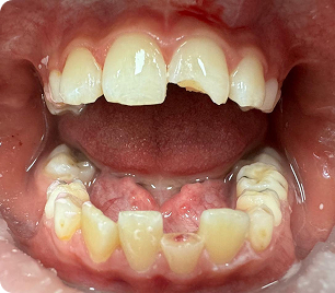
Коронки помогают сохранить даже
сильно разрушенные молочные зубы до
момента их естественной смены. Это
важно, ведь молочные зубы
участвуют в жевании
и измельчении пищи,
Молочные зубы важны для
полноценного питания ребёнка. Они
помогают тщательно пережёвывать
пищу, что снижает нагрузку на
желудок и улучшает пищеварение
Влияют на
правильную речь
Правильное расположение зубов
позволяет ребёнку чётко
произносить звуки. Потеря молочных
зубов раньше времени может
привести к нарушениям дикции
Направляют рост
челюсти
Молочные зубы держат место для
будущих постоянных. Если зуб
удалён преждевременно, соседние
могут сместиться, нарушая прикус и
форму лица
Дети не всегда готовы долго сидеть в кресле и спокойно
переносить лечение, особенно если оно вызывает дискомфорт.
Поэтому для установки коронок на молочные зубы мы
используем безопасную и мягкую анестезию. Обычно
применяется препарат Севоран — он действует быстро,
надёжно и не вредит растущему организму.
Процедура проходит поэтапно
01
Зуб очищают и при
необходимости
обезболивают
02
Создают культю зуба
для установки коронки
03
Выбирают коронку по
размеру и примеряют
04
Культю и подходящую
коронку обрабатывают
и готовят к постановке
05
Устанавливают коронку
на цемент
06
Контрольный рентген
снимок
Металлические
Циркониевые